Un nuovo sorriso
per Irma
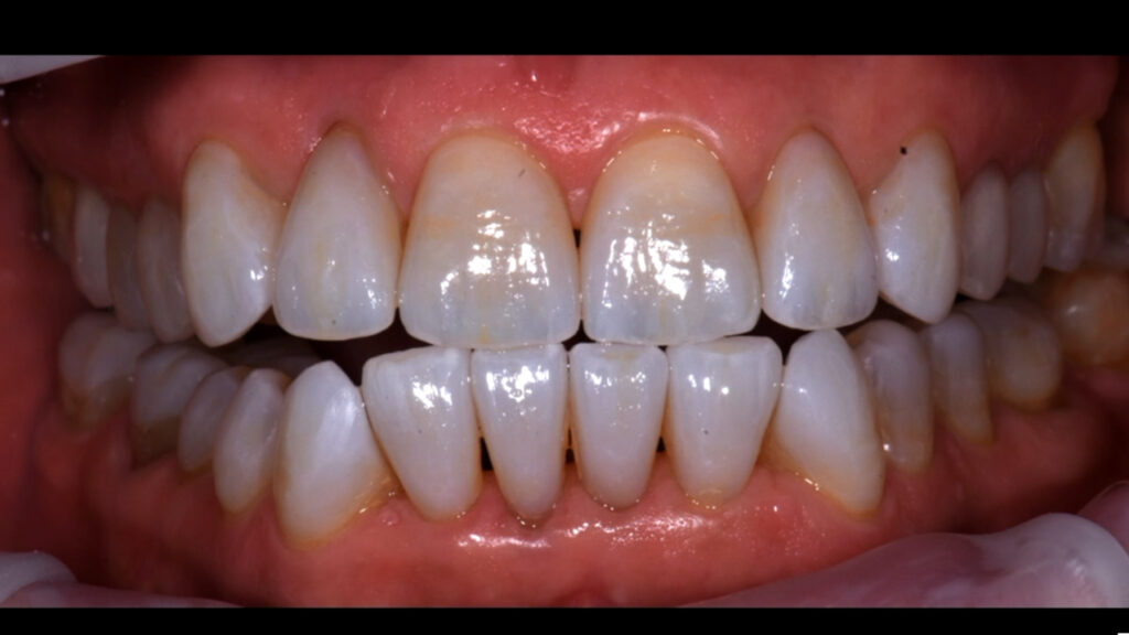
La soluzione delle Faccette Dentali è la più appropriata in questo caso perché, grazie a un trattamento per niente invasivo e totalmente indolore, siamo in grado di risolvere il problema e donare a Irma nuovamente il sorriso che desidera.

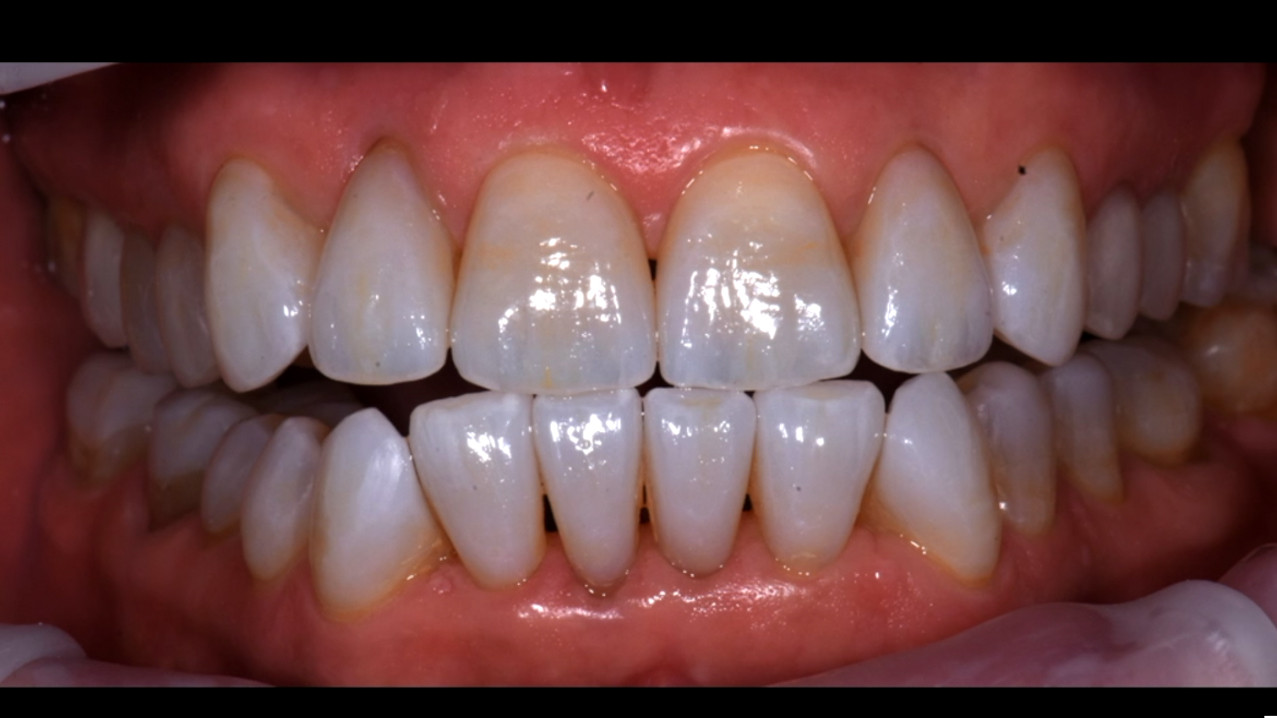
In sole due sedute Irma ha riacquistato il suo meraviglioso sorriso!
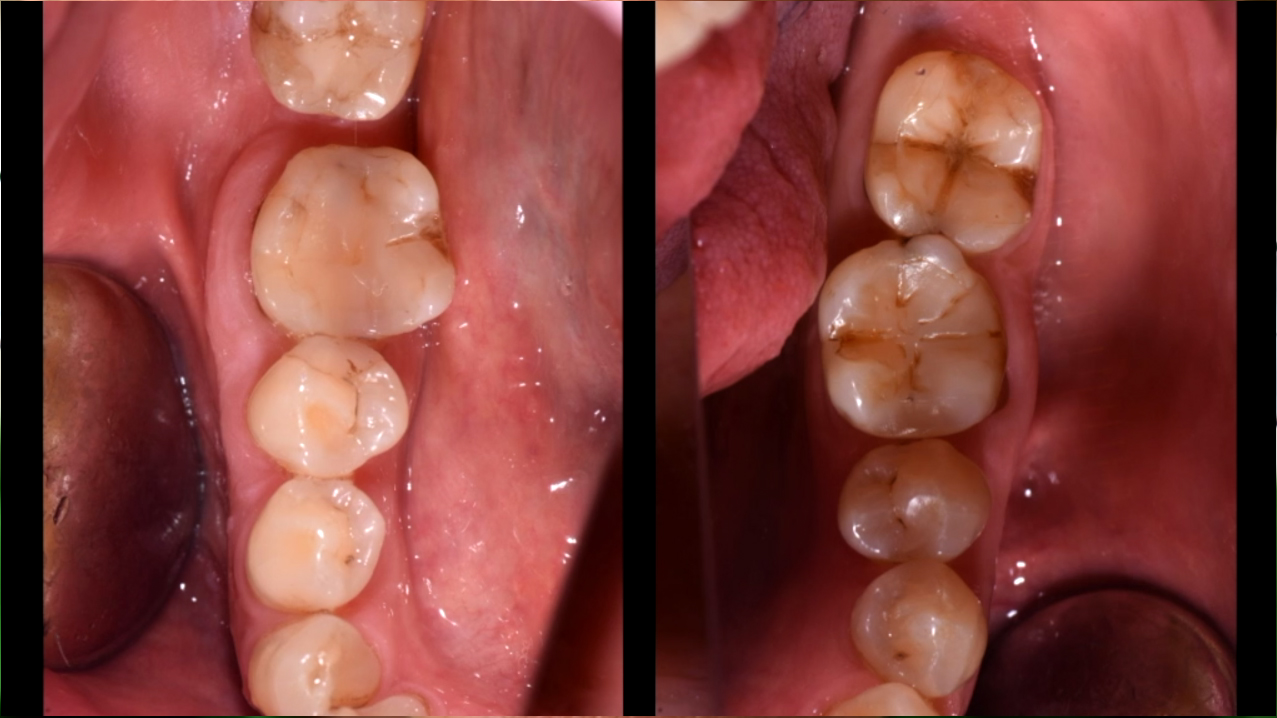
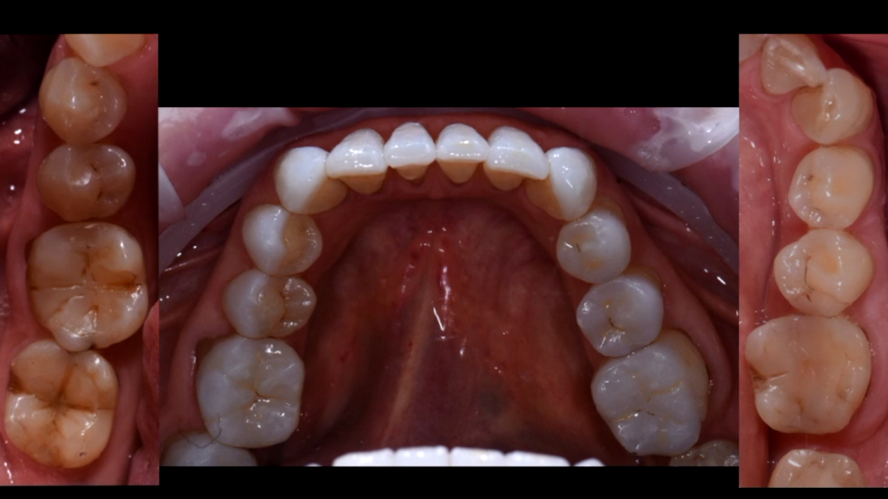
Nell’appuntamento A
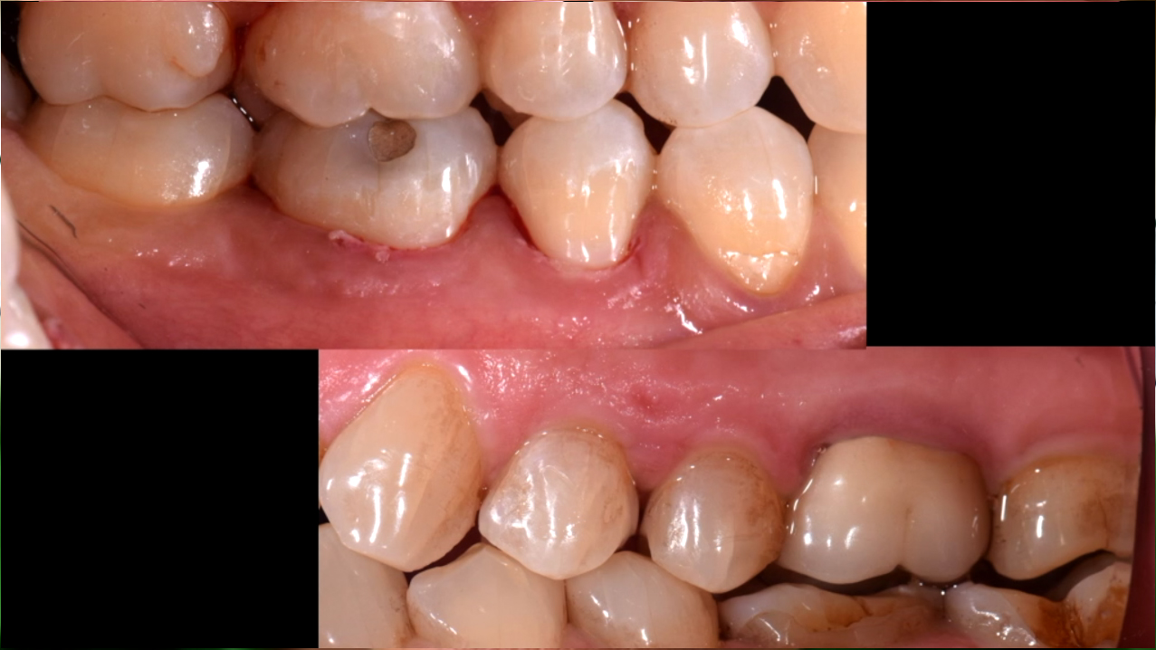
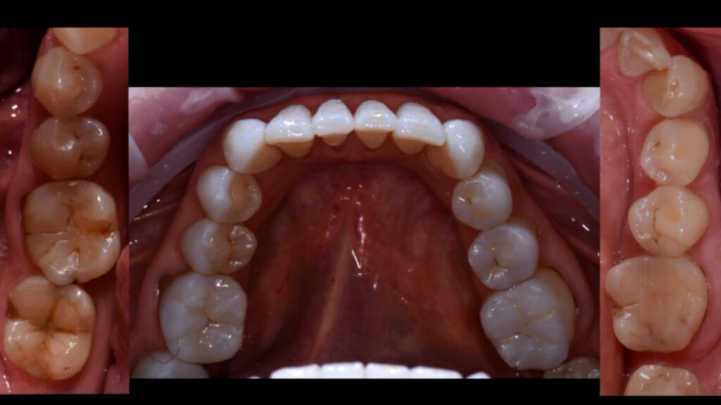
Nell’appuntamento B
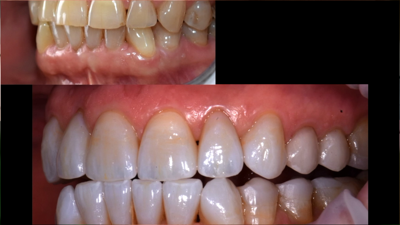
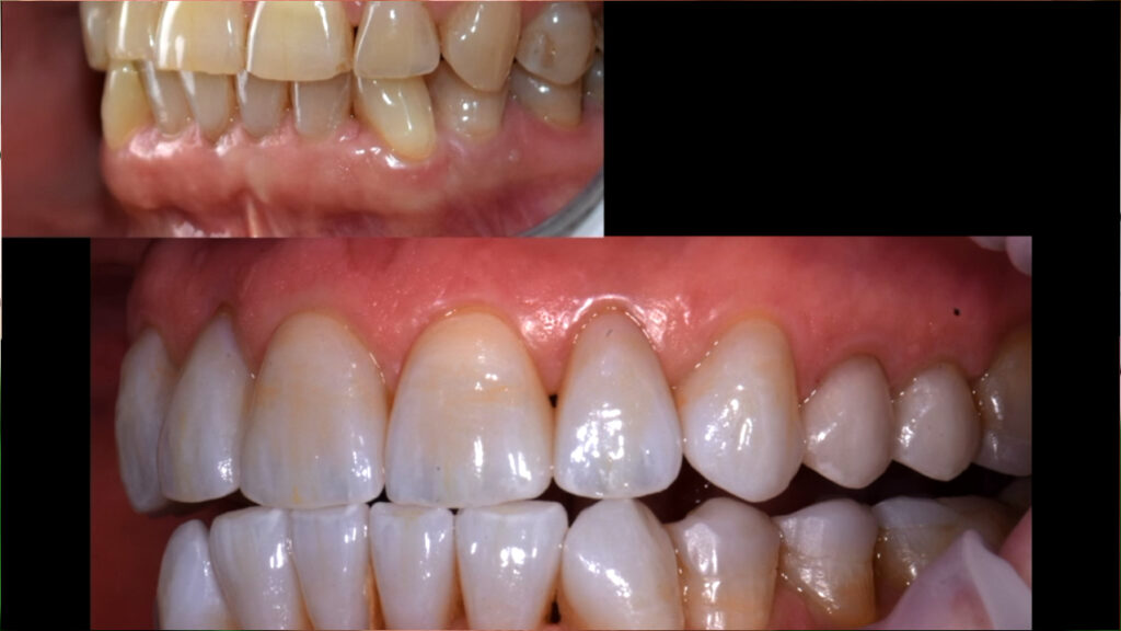
IL RISULTATO
L’esperienza di Irma
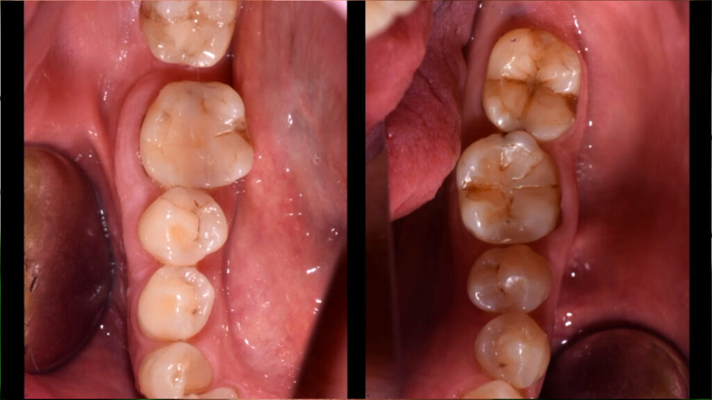
Mi sono rivolta al Centro Odontoiatrico Idea perché avevo necessariamente bisogno di migliorare il mio sorriso, che già da qualche tempo è spento e non più brillante come una volta. Da parecchi anni, infatti, stringo troppo i denti, li serro, e con il tempo si sono consumati. Questo ha causato sia un’insicurezza nel mio sorriso, che non sfoggiavo più come prima, sia un problema a livello pratico perché i denti avevano perso in parte la loro funzionalità. Nel tempo ho fatto diverse otturazioni ma ho pensato fosse il momento di ricorrere a un trattamento diverso e più radicale ma soprattutto che mi desse i risultati sperati definitivamente.
Quindi mi sono rivolta allo staff del Centro Idea per avere finalmente una soluzione ai miei problemi dentali.
Subito il Dott. Giorgio, con precisione e professionalità, dopo aver ascoltato attentamente i miei problemi e aver controllato la mia situazione dentale, mi ha consigliato il metodo delle Faccette Dentali.
Mi sono affidata al Dott. Giorgio per una ricostruzione totale con Faccette Dentali sia dell’arcata superiore che di quella inferiore. Il trattamento non è invasivo ed è stato assolutamente indolore. Grazie alle faccette sono riusciti a dare di nuovo ai miei denti la funzionalità che avevo perso.
Sono anche molto felice da un punto di vista estetico perché adesso quando mi specchio e quando guardo i miei denti, vedo che sono veramente belli e sono finalmente tornati esattamente come quando ero giovane.
Grazie Centro Idea!











