Le innovative Faccette Dentali
per il sorriso di Federico

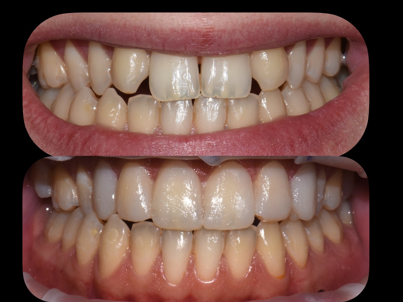
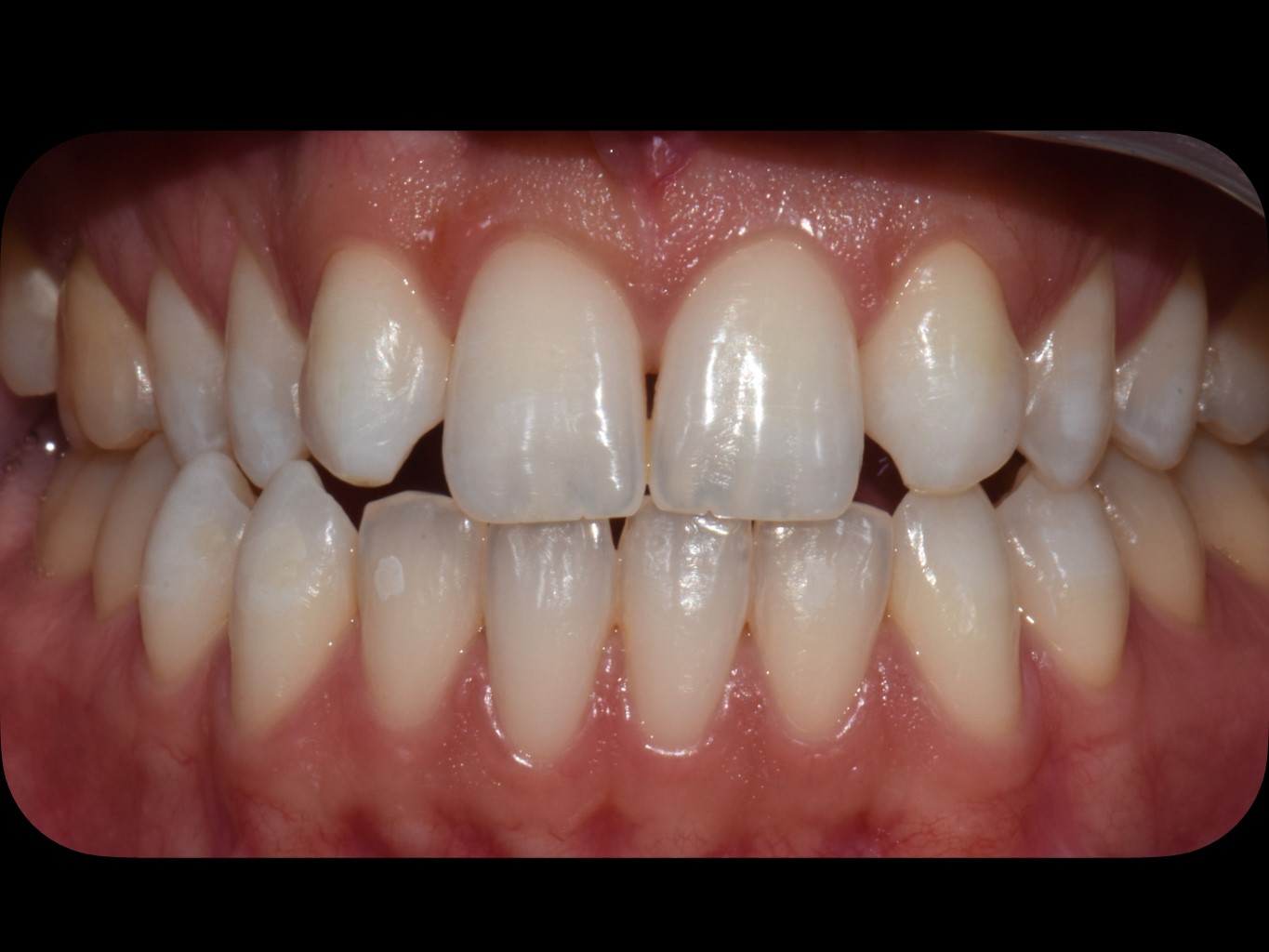
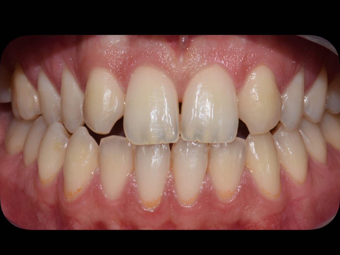
Federico è un giovane avvocato, insoddisfatto però del suo sorriso a causa di alcuni inestetismi nella sua dentatura. Ci ha contattati con l’obiettivo di trovare una soluzione rapida, brillante e definitiva, per questo, durante il primo appuntamento col Dott. Giorgio, gli abbiamo proposto l’innovativa soluzione del Metodo Idea per l’applicazione di Faccette Dentali.
Dopo aver verificato che Federico non soffrisse di patologie dentali gravi, abbiamo realizzato nel nostro Centro specializzato prima di tutto uno sbiancamento completo dei denti, procedendo con l’installazione di Faccette Dentali in ceramica per completare il sorriso perfetto di Federico.

Il Metodo IDEA per l’applicazione di Faccette Dentali

si è rivelato essere la soluzione ideale per regalare a Federico il sorriso che desiderava, dopo solo due sedute.

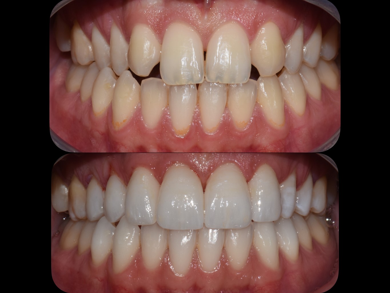
Nell’appuntamento A

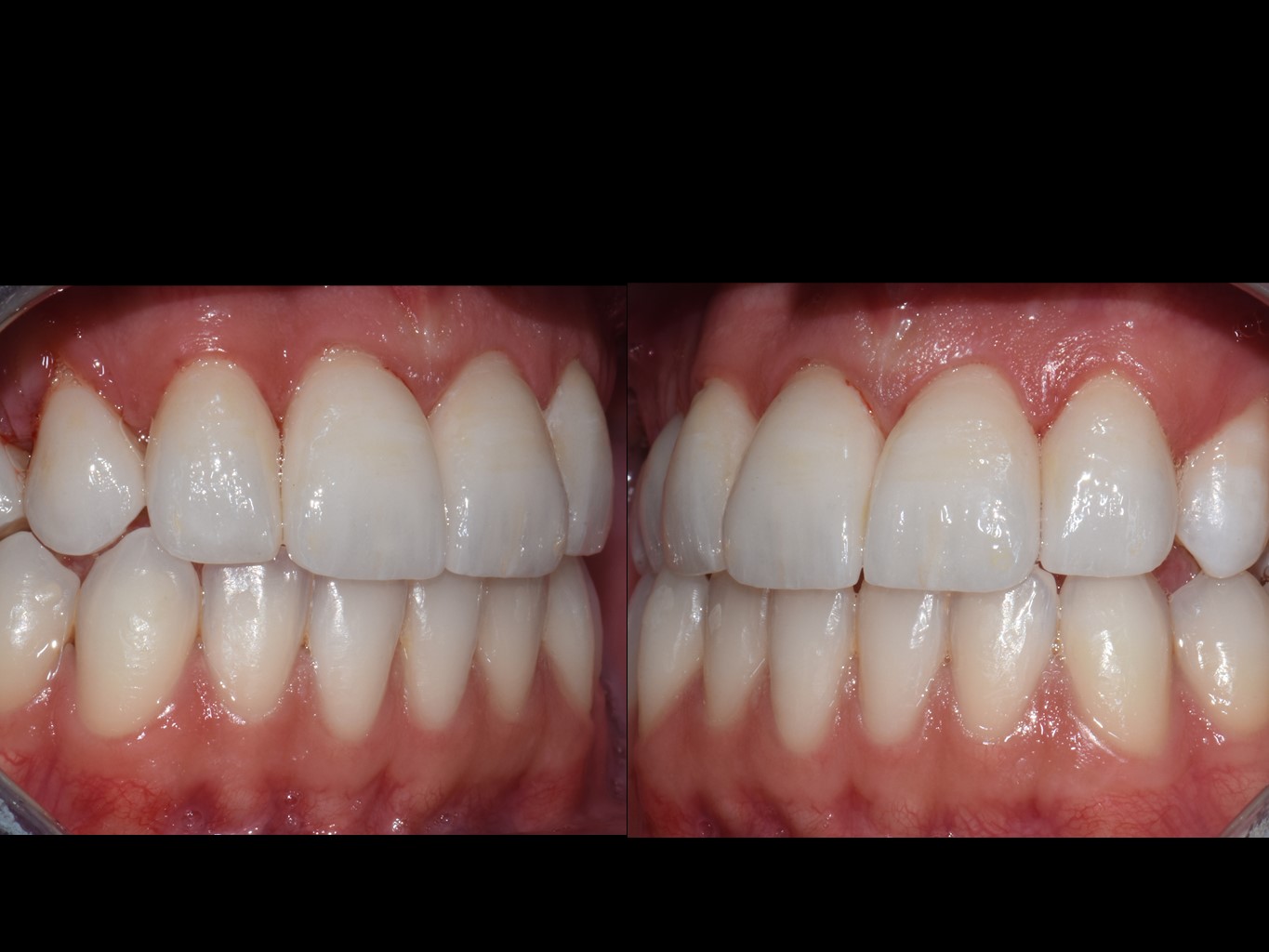
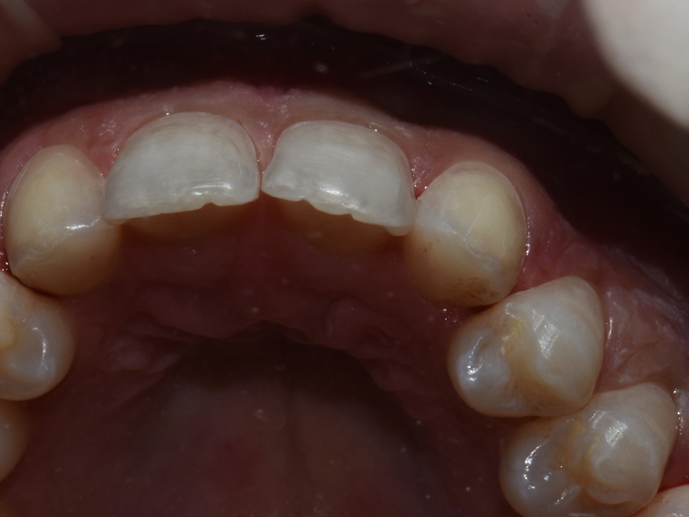
Dopo aver pulito e sbiancato accuratamente la dentatura di Federico, abbiamo preparato i denti a ricevere le Faccette Dentali e abbiamo inviato al nostro tecnico specializzato un'impronta ottica 3D ad altissima definizione. Già dopo questo primo incontro, Federico è uscito dal nostro studio con un aspetto migliore, grazie a un provvisorio applicato che rispecchia le forme del lavoro finale.

Nell’appuntamento B

Dopo circa una settimana, rimosso il provvisorio, abbiamo proceduto alla cementazione delle Faccette dentali, ovviamente una separata dall’altra, ottenendo un risultato incredibilmente naturale ed estetico.

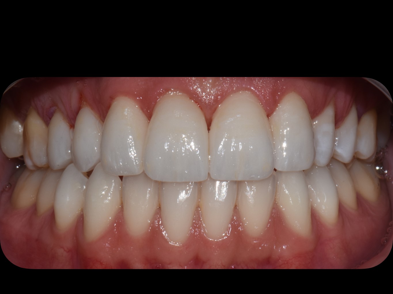
IL RISULTATO

Come è possibile vedere dai risultati, grazie al Metodo IDEA, dopo solo pochi giorni, Federico è uscito dal nostro Centro Odontoiatrico con il sorriso perfetto: insieme abbiamo deciso la forma, il colore e la posizione delle sue nuove Faccette Dentali. L’applicazione delle Faccette in ceramica avviene con una precisione microscopica, andando a coprire e mascherare tutti gli inestetismi e le imperfezioni con un bassissimo costo biologico.

L’esperienza di Federico

La differenza col mio vecchio sorriso è strabiliante. Non c’è assolutamente  paragone. Ringrazio profondamente il Dott. Giorgio e tutto lo staff per avermi aiutato a ottenere un migliore strumento fondamentale nel mio lavoro: il mio sorriso.

 

Il Dott. Giorgio è stato accuratissimo nello spiegarmi i rapidi passaggi per l’installazione delle Faccette Dentali, verificando ogni premessa. Nessun dolore, nessun fastidio e solo due sedute per completare l’opera. Centro Odontoiatrico IDEA mi ha aiutato a trovare il sorriso che desideravo, in ogni singolo dettaglio. Incredibile davvero.

 

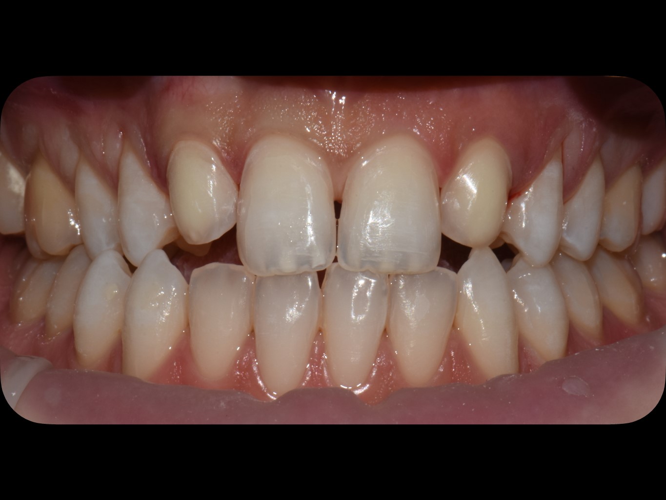
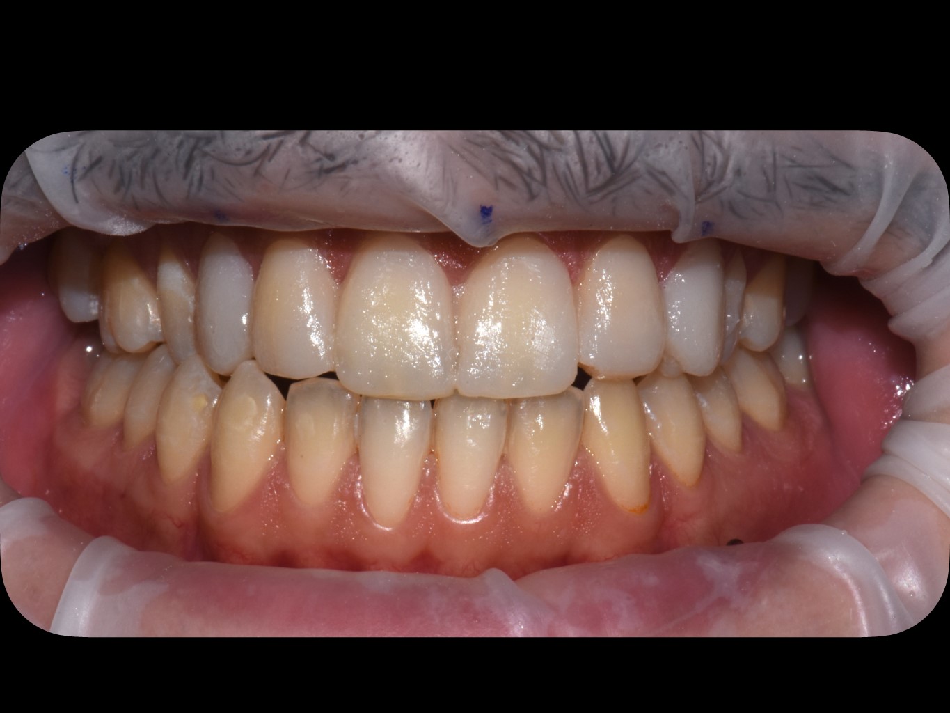
Abbiamo realizzato 4 faccette per l’arcata superiore della mia dentatura, rendendo poi più brillanti tutti gli altri denti. Il risultato parla da solo.

 

Ora non capisco proprio perché ho aspettato tanto per contattare il Dott. Giorgio.

 

Grazie mille Centro Idea!

Le innovative Faccette Dentali per il sorriso di Federico

SECONDA SEDE PIRAMIDE

Vieni a scoprire la nostra nuova
seconda sede a
PIRAMIDE
Via Ostiense, 12 – Roma
SCOPRI DI PIÙ