La soluzione perfetta
per Maura

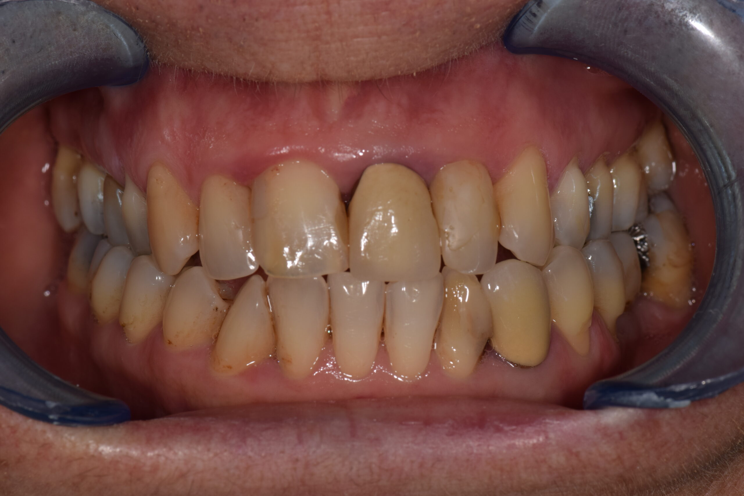
Maura è una giovane donna, estremamente impegnata tra il gestire il suo lavoro e prendersi cura della sua famiglia. A causa di un vecchio incidente, è stata costretta a ripristinare la sua dentatura attraverso l’impianto di corone di vecchia generazione poco omogenee col suo sorriso e ricostruzioni in composito poco precise che contribuivano a formare una dentatura pieno di imperfezioni.

Per ottenere un sorriso di cui andare finalmente fiera, sia a casa che a lavoro, si è rivolta al nostro Centro Odontoiatrico specializzato. Dopo il primo appuntamento con il Dott. Giorgio, nel quale abbiamo verificato il corretto stato di salute della sua bocca, le abbiamo proposto le innovative soluzioni interamente in ceramica delle corone protesiche Metal Free e delle Faccette Dentali. Grazie al Metodo Idea, l’installazione è avvenuta in sole due sedute, con interventi rapidi, indolori e minimamente invasivi.

Dopo solo due sedute,
Maura ha ottenuto il suo nuovo sorriso, perfetto per ogni occasione.

Nell’appuntamento A

Abbiamo rimosso accuratamente le vecchie corone e preparato la dentatura per realizzare le innovative corone Metal Free, perfette per Maura. Inoltre, abbiamo preparato i denti a ricevere le Faccette Dentali, inviando tutti i dati dell’impronta ottica degli Scan 3D al nostro tecnico specializzato. Già dopo questo primo incontro, Maura è uscita dal nostro studio con un provvisorio, ottenendo fin da subito un sorriso nettamente migliore di quando era entrata.

Nell’appuntamento B

dopo circa una settimana, abbiamo tolto il provvisorio di Maura, pulendo e preparando i denti all’installazione delle Faccette, ovviamente una separata dall’altra. Inoltre abbiamo installato le corone prostetiche Metal Free di ultima generazione.

IL RISULTATO

Grazie al Metodo IDEA, dopo solo un paio di settimane, Luciana ha ottenuto il suo nuovo e definitivo sorriso, perfetto in ogni dettaglio: insieme abbiamo deciso insieme la forma, il colore e la posizione delle sue nuove corone e Faccette Dentali. La nostra installazione avviene con una precisione microscopica, andando a coprire e mascherare tutti gli inestetismi, con il minimo di invasività.

L’esperienza di Maura

Per quanto provassi a tenere puliti i miei denti, il giallo delle vecchie corone che avevano iniziato a degradarsi non andava via, ma anzi stava peggiorando con il passare del tempo! Inoltre, la loro forma, spessore e colore rendeva il mio sorriso “innaturale”. Si vedeva che era finto e non mi piaceva l’immagine che questa caratteristica rifletteva di me.

 

Quando mi sono rivolta al Centro Idea speravo davvero con tutto il cuore di poter trovare una soluzione definitiva e fresca per il mio sorriso. Il Dott. Giorgio è stato bravissimo a tranquillizzarmi sulla mia situazione: sarebbero bastate due sole sedute per ripristinare completamente e con il minimo dell’invasività la mia dentatura.

 

E due sedute sono state! Niente dolore, niente fastidi, niente convalescenza! Insieme al Dott. Giorgio abbiamo deciso in ogni dettaglio il mio nuovo sorriso. Mi ha mostrato il risultato finale ancora prima di iniziare. Quando mi sono guardata allo specchio, era ancora meglio di come mi aspettavo. Centro IDEA ha pulito i denti dagli inestetismi, sostituito le corone ormai obsolete e ripristinato la mia dentatura nel miglior modo possibile!

 

È come se non avessi mai avuto bisogno di interventi!

 

Complimenti a tutto lo staff di Centro IDEA!

La soluzione perfetta per Maura

SECONDA SEDE PIRAMIDE

Vieni a scoprire la nostra nuova
seconda sede a
PIRAMIDE
Via Ostiense, 12 – Roma
SCOPRI DI PIÙ