La soluzione
di estetica dentale
per Giorgia
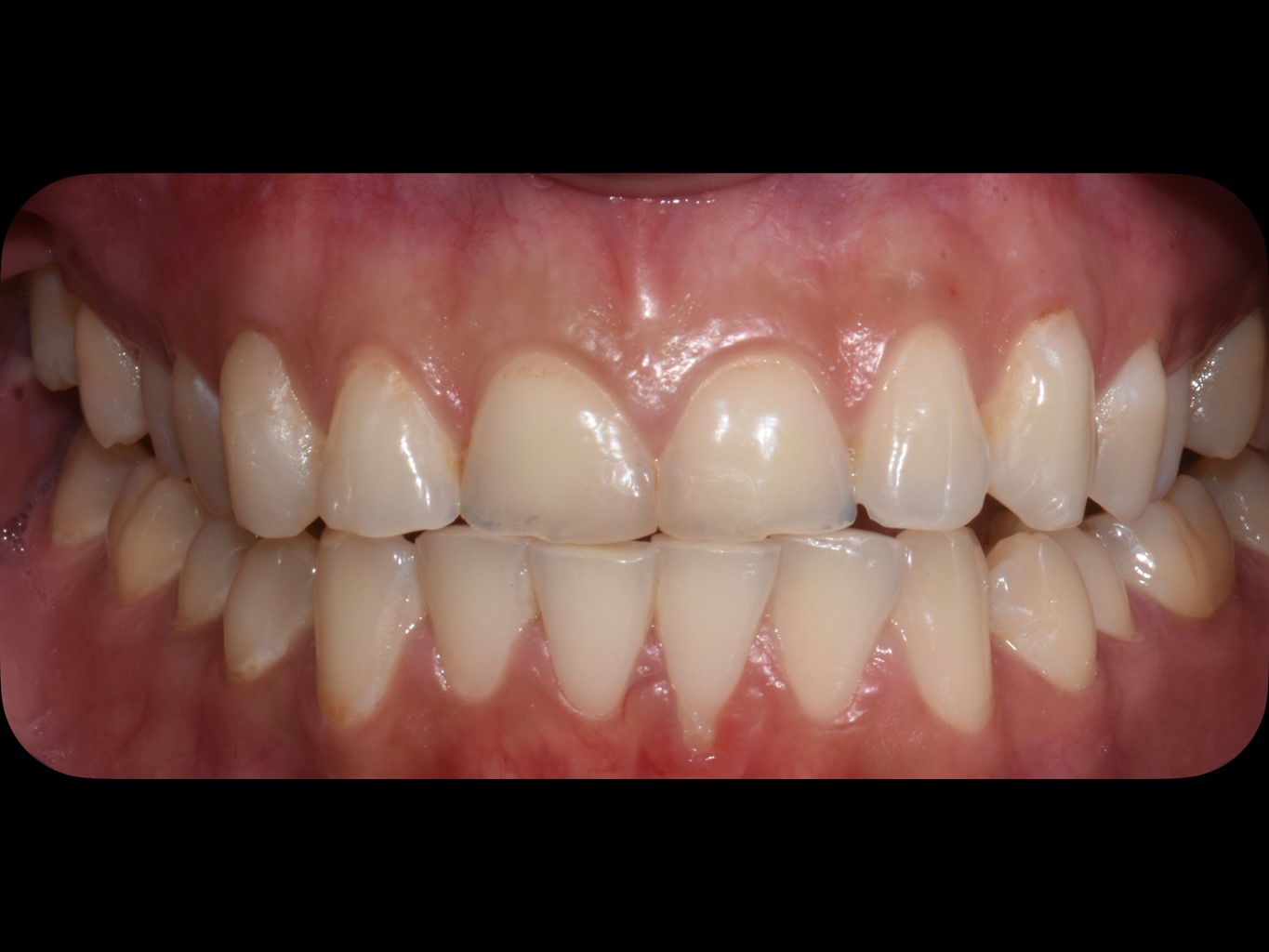
Per questo ci ha contattati, per trovare una soluzione rapida per il suo sorriso, che durasse per sempre. Dopo avere verificato che non soffrisse di patologie dentali gravi,
abbiamo proposto a Giorgia l’innovativa soluzione delle Faccette Dentali in ceramica per regalarle il sorriso perfetto in due sole sedute grazie al Metodo Idea, con una tecnica rapida, indolore e minimamente invasiva.

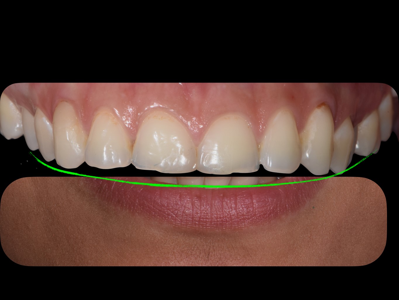
Un nuovo sorriso grazie al Metodo Idea
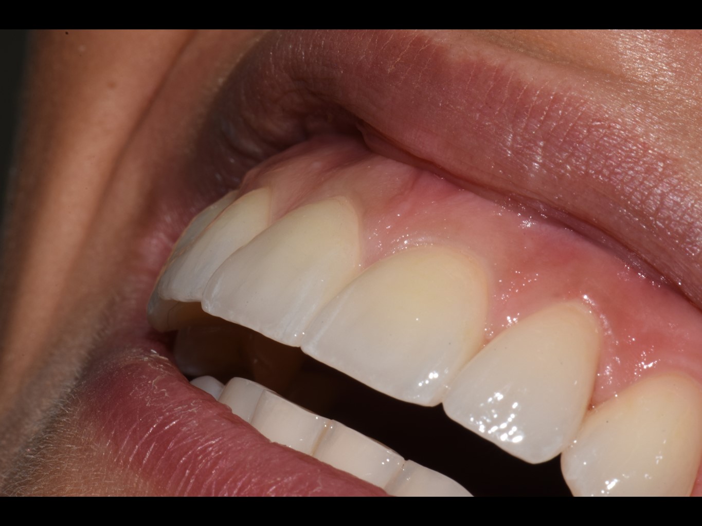
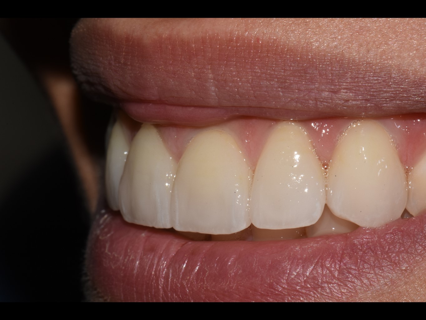
abbiamo realizzato il nuovo sorriso di Giorgia perfetto in ogni dettaglio,
in due soli appuntamenti.
Nell’appuntamento A
Nell’appuntamento B
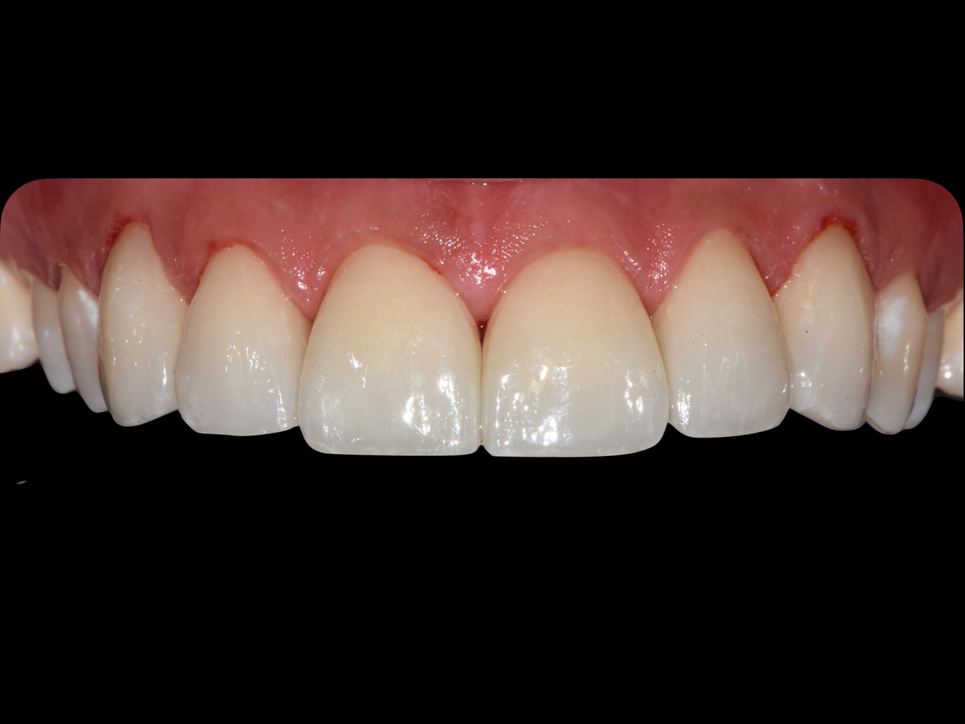
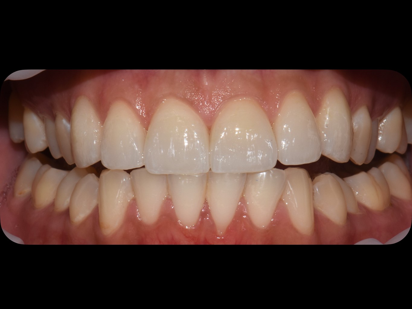
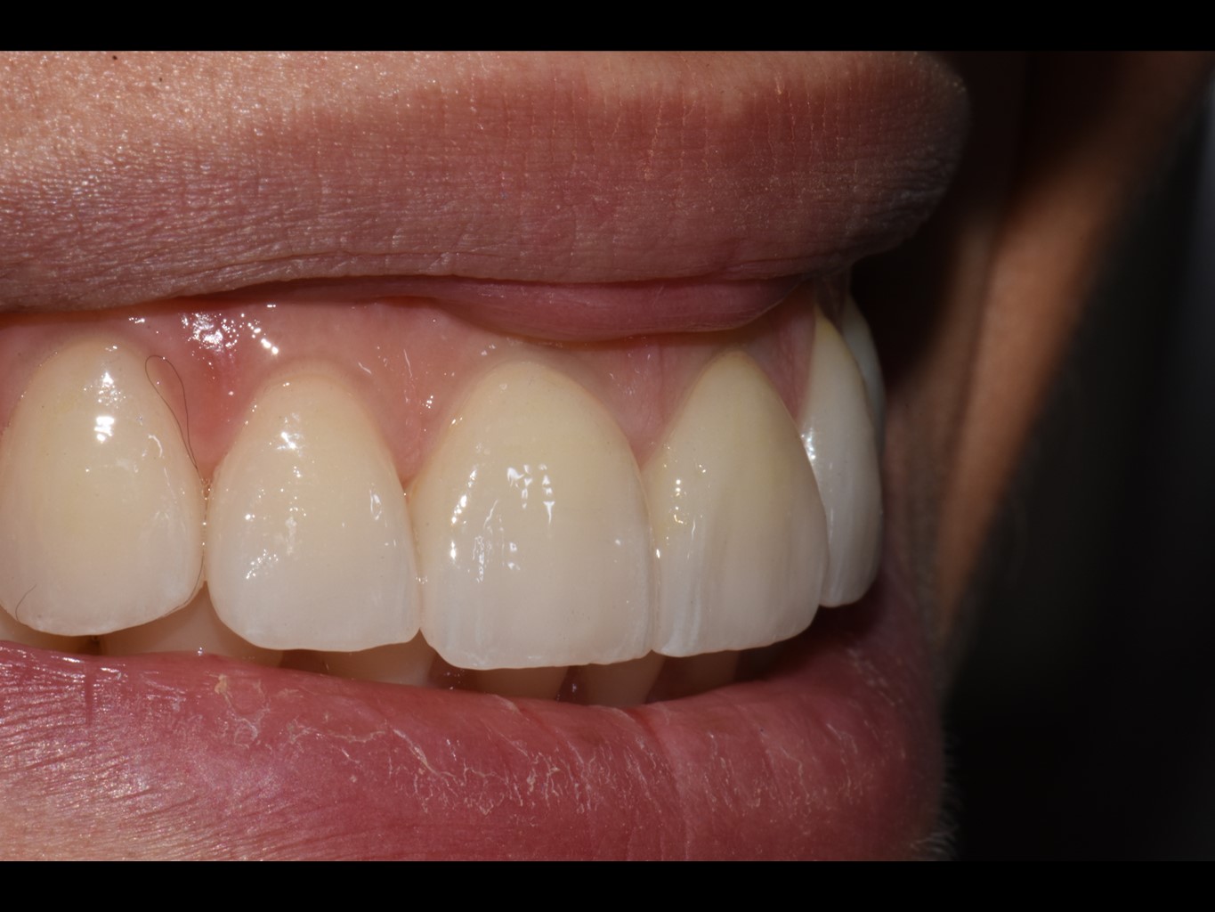
IL RISULTATO
L’esperienza di Giorgia
Finalmente posso tornare a sorridere serena! Le Faccette Dentali si sono davvero rivelate essere la soluzione ideale per me. Avevo paura che, a causa del mio vizio, non avrei più potuto avere un sorriso di cui non mi vergognassi. Ma il Dott. Giorgio mi ha fatto subito ricredere.
Quando mi ha parlato del metodo di Centro IDEA non potevo immaginare con quanta precisione avrebbero potuto ricostruire il mio sorriso. Dopo aver pulito accuratamente i miei denti e averli preparati per le Faccette, abbiamo installato il provvisorio, in attesa del secondo appuntamento. Già soltanto con quel provvisorio, mi sentivo una persona diversa. Quando poi ho visto con i miei occhi il risultato finale, sorridere non è mai stato così facile!
Ora smetterò di esagerare con le caramelle e seguirò tutti i consigli che lo staff di Centro IDEA mi ha dato per mantenere perfetto il mio sorriso sempre sano e brillante.
Grazie infinite Centro Idea!


















