Il sorriso in composito
per Maria Cristina
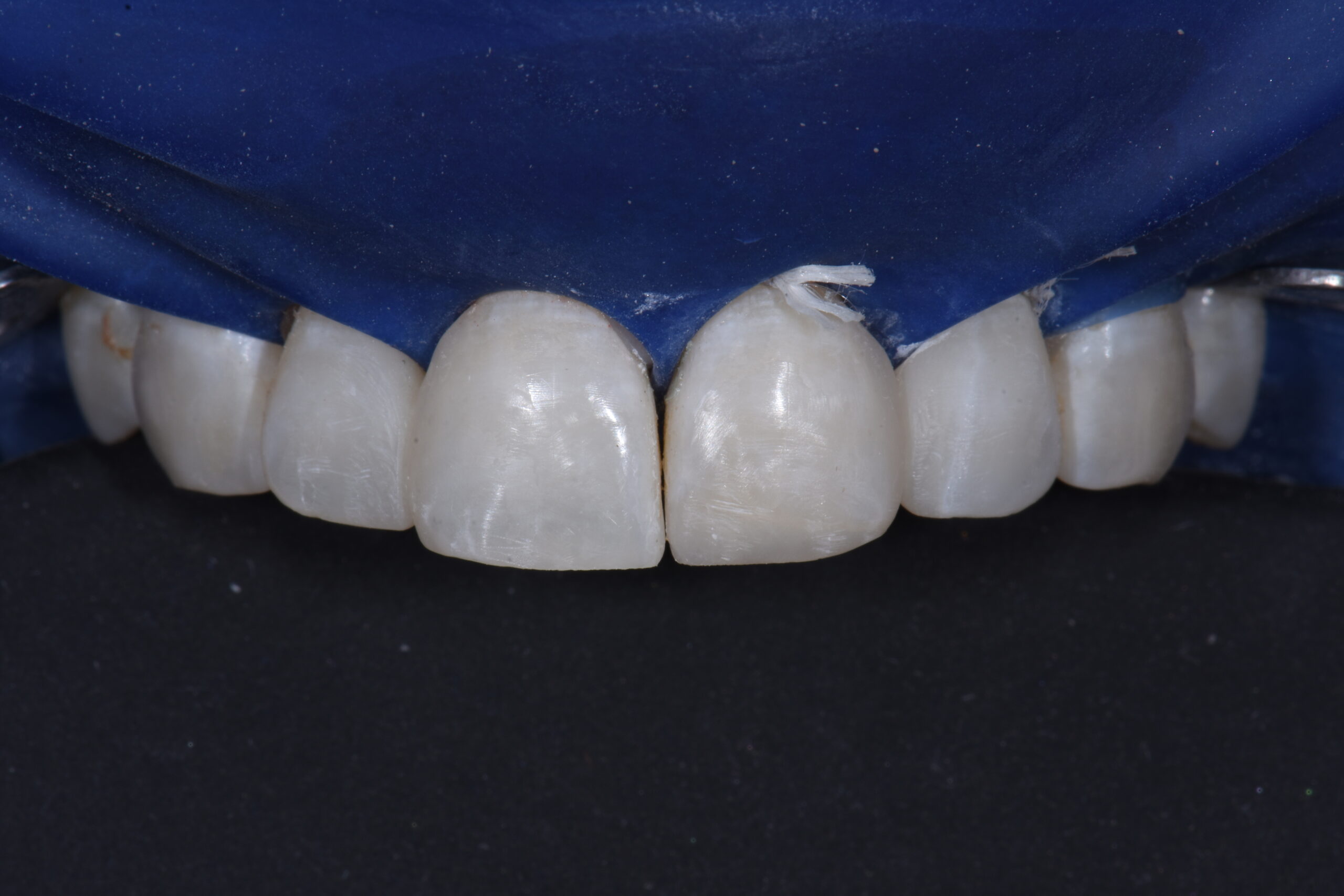
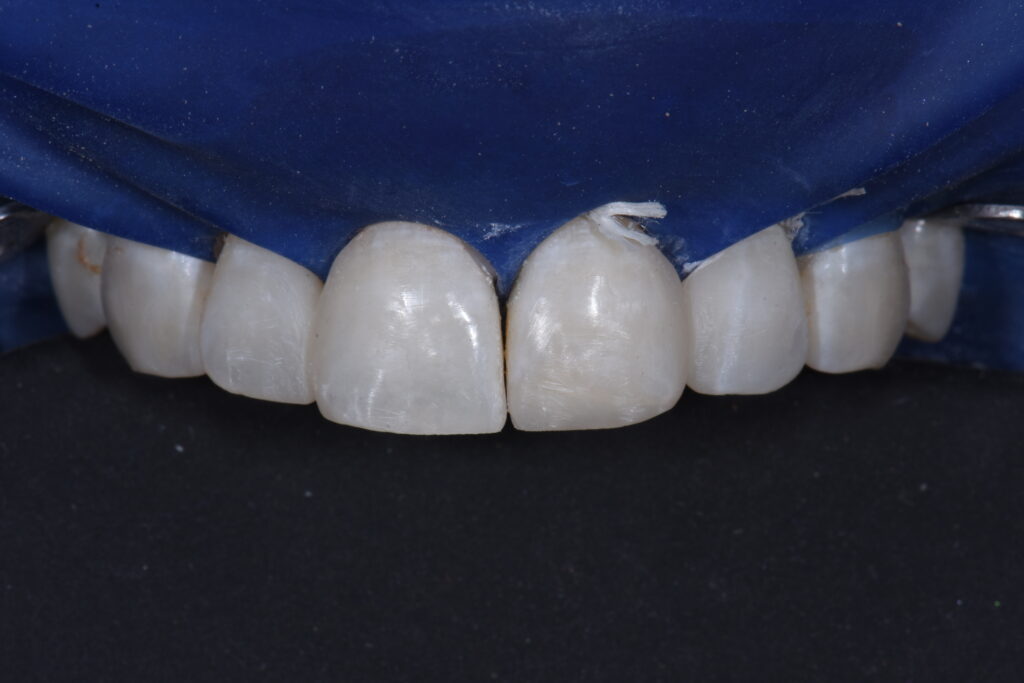
Stando molto tempo a contatto con i clienti, Maria Cristina si era stancata di sorridere a mezza bocca per nascondere i suoi inestetismi, per questo ci ha contattato. Abbiamo subito fissato un primo appuntamento nel nostro Centro specializzato per accertarci del corretto stato di salute della sua bocca. Verificate le giuste condizioni, le abbiamo proposto il rapido e sicuro Restauro Diretto in Composito, ripristinando perfettamente il suo sorriso in una sola ora.

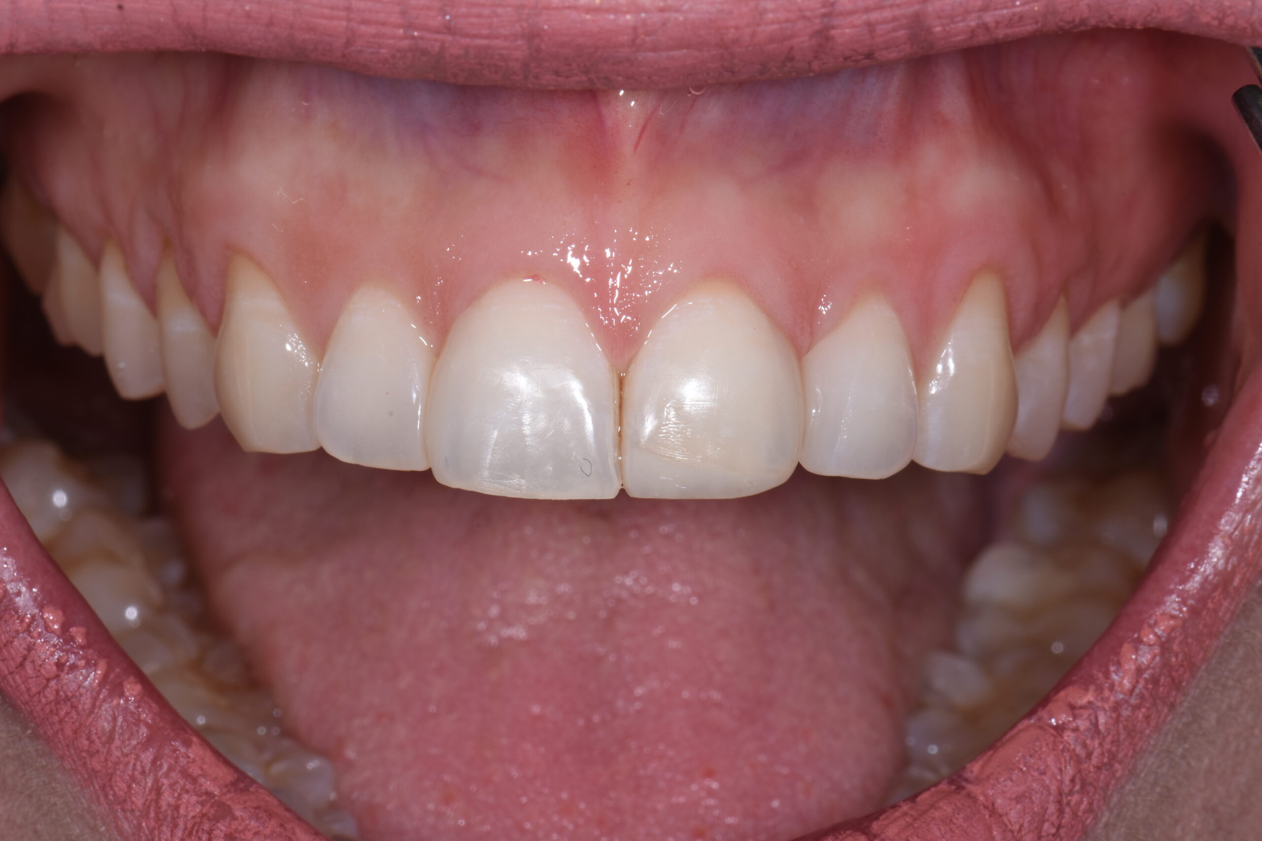
In un solo appuntamento di circa un’ora,
Maria Cristina ha ottenuto un sorriso perfetto.
IL RISULTATO
La Ricostruzione Diretta oltre ad essere un trattamento sicuro e altamente affidabile permette un intervento completamente indolore e rapidissimo.
L’esperienza di Maria Cristina
Anche il mio sorriso è tornato a lavoro! Mi mancava accogliere tutti i clienti che ricevo ogni giorno con un sorriso accennato. Il Restauro Diretto si è risolto davvero prima che me ne accorgessi! Mi dava fastidio avere una dentatura irregolare, che non rispecchiava la mia personalità.
Ma tutto lo staff di Centro IDEA è stato davvero incredibile ad aiutarmi. Mi hanno mostrato di quanto sarebbe migliorato il mio sorriso dopo solo un’ora di seduta, per lo più senza provare fastidi di alcun tipo. Sono davvero felice di aver trovato degli esperti come Centro IDEA che mi hanno aiutata a trovare una soluzione che non mi costringesse a giorni di convalescenza o a interventi infiniti per ricostruire la mia dentatura.
Posso finalmente dedicare tutti i miei sorrisi anche allo staff di Centro IDEA!
Grazie mille a tutti!








