Il Metodo Idea
per il sorriso di Giovanni
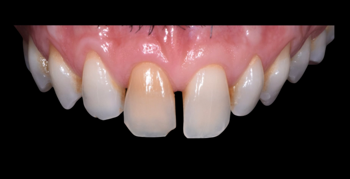
Per ritrovare la sicurezza di sorridere anche nel posto di lavoro, Giovanni ha contattato il nostro Centro specializzato, prendendo subito appuntamento con il Dott. Giorgio. Dopo aver verificato il corretto stato di salute della sua bocca, l’innovativo Metodo Idea per l’installazione di Faccette Dentali è risultata essere la soluzione più rapida, sicura ed efficace per donare a Giovanni un sorriso perfetto e brillante, in sole due sedute.

Le Faccette Dentali di Giovanni
sono state studiate appositamente per il suo sorriso.
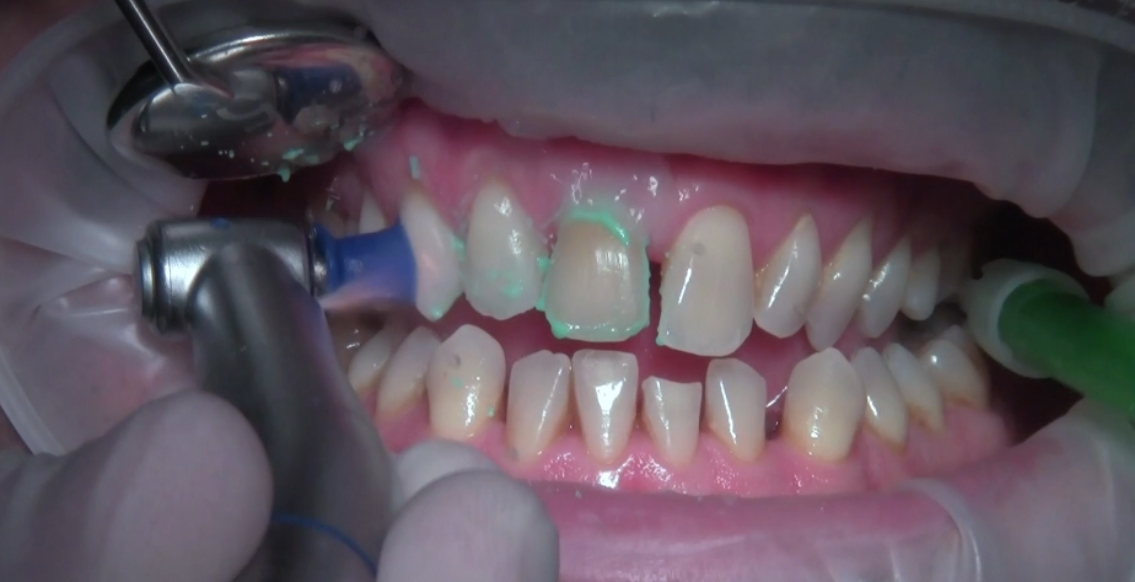
Nell’appuntamento A
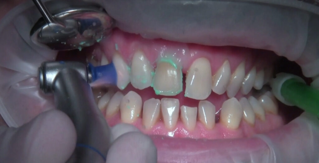
Nell’appuntamento B
IL RISULTATO
L’esperienza di Giovanni
Finalmente non ho più alcun problema a presentarmi ai miei clienti! È incredibile come questo nuovo sorriso mi stia aiutando così tanto anche nel mio lavoro. Quando i miei colleghi mi hanno parlato del Metodo Idea non ero sicuro che fosse possibile un risultato del genere.
Il Dott. Giorgio è stato fantastico a spiegarmi in che modo, non avrei soltanto ottenuto un sorriso più bello, ma come tutta la salute della mia bocca ne avrebbe giovato. Parola d’ordine “bianco smagliante”! Già dopo il provvisorio che il Dott. Giorgio mi ha installato in attesa della cementificazione finale, il mio sorriso era nettamente migliorato. Senza contare che non ho dovuto saltare un solo giorno di lavoro per la convalescenza o interventi infiniti.
Dopo una settimana, avevo davvero ottenuto il sorriso che avevo sempre sognato. Incredibile, soltanto incredibile.
Ora è, decisamente, tutta un’altra questione.
Non so davvero come ringraziare tutto lo staff di Centro Idea!










