Il sorriso perfetto
per Stefano
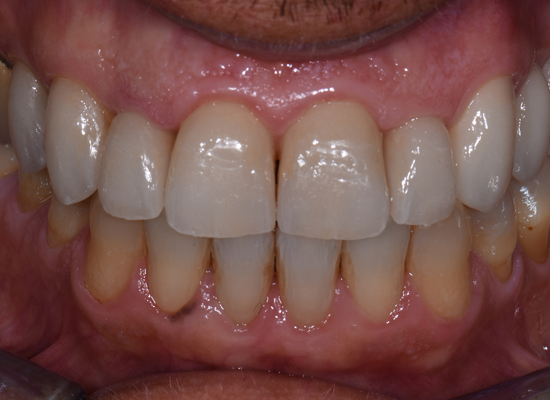
Grazie al Metodo Idea, l’intervento è stato rapido, sicuro e indolore; il suo volto è di nuovo fresco e luminoso e Stefano può sfoggiare un nuovo biglietto da visita invidiabile: un sorriso bianco e sano.

Dopo solo due sedute,
Stefano ha ottenuto il sorriso che desiderava,
perfetto per il mondo dello spettacolo.
Nell’appuntamento A
Abbiamo, quindi, inviato una scansione tridimensionale ad alta definizione di tutte le arcate dentali al nostro laboratorio odontotecnico specializzato che ha provveduto alla
realizzazione dei vari manufatti in ceramica, seguendo il progetto di forme e colore stabilito insieme al paziente.
Al termine di questo appuntamento Stefano è uscito dal nostro studio con un provvisorio, ottenendo fin da subito un sorriso nettamente migliore rispetto a quello di poche ore prima.
Nell’appuntamento B
e le corone metal free. Ogni elemento dentale è rimasto separato dall’altro, ottenendo così un risultato naturale e altamente estetico.





IL RISULTATO


L’esperienza di Stefano
È stato un intervento incredibile! Non ringrazierò mai abbastanza il Dott. Giorgio per essere stato in grado di eseguire un lavoro così preciso e indolore in così poco tempo. A causa di tutti i miei impegni, riuscire a trovare del tempo libero è per me estremamente difficile, senza considerare eventuali giorni, o addirittura settimane, di convalescenza lontano dal lavoro. Per questo, quando ho sentito parlare del Metodo Idea, ho preso subito appuntamento al Centro Odontoiatrico IDEA, con la speranza di ottenere una soluzione rapida e definitiva.
Durante la prima visita, il Dott. Giorgio mi ha parlato di come il Metodo Idea permettesse l’installazione di Faccette Dentali e corone protesiche, non solo in tempi rapidissimi, ma anche senza pericolo di complicazioni, dolore o convalescenza.
La mia paura era che i nuovi denti sarebbero sembrati “finti”, ma sono felicissimo di essermi sbagliato: il Dott. Giorgio ha ricreato perfettamente il colore e la forma dei miei denti, rendendo il mio sorriso veramente naturale.
Così tutte le faccette e corone adattate si sono integrate esteticamente al mio sorriso in maniera impeccabile.
Sono tornato subito a lavoro e la differenza per me è stata subito evidente. Il Centro Odontoiatrico IDEA ha realizzato la soluzione che non pensavo di poter più trovare.
Ora vado finalmente fiero del mio sorriso!
Grazie Centro Idea!
