Un nuovo sorriso
per Luciana
Per questo motivo il Dott. Giorgio, durante il primo appuntamento nel quale abbiamo verificato lo stato di salute della sua bocca, le ha suggerito di affidarsi al Metodo IDEA, la tecnica specializzata che consente l’installazione delle innovative corone prostetiche Metal Free e di Faccette Dentali.
L’intervento è stato rapido, sicuro e indolore per donargli un nuovo sorriso, sano e che durasse per sempre, senza dover ricorrere ad apparecchi dentali fissi o mobili.

Dopo solo due sedute,
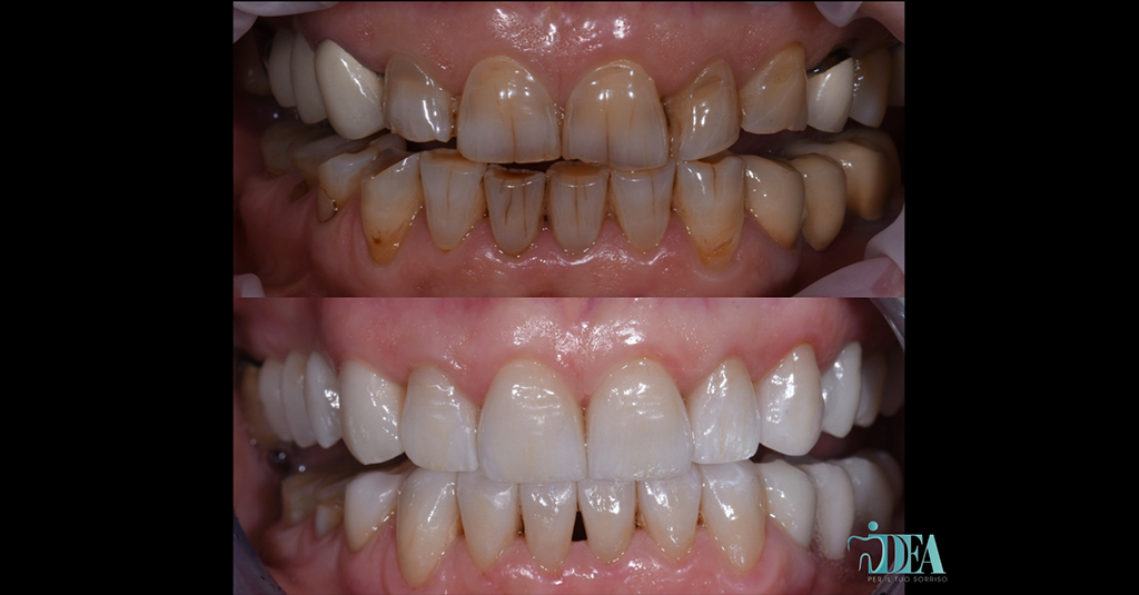
Luciana ha ottenuto il sorriso che desiderava,
perfetto per la sua personalità.
Nell’appuntamento A
Già dopo questo primo incontro, Luciana è uscita dal nostro studio con un provvisorio, ottenendo fin da subito un sorriso nettamente migliore di quando era entrata.
Nell’appuntamento B
IL RISULTATO
L’esperienza di Luciana
Sono sempre stata attenta alla cura dei miei denti. Li lavo tre volte al giorno, con spazzolino elettrico, passando il filo interdentale dopo ogni pasto. Ma anche così i miei denti mi invecchiavano: erano corti, erano gialli, pieni di fratture e, nonostante tutta la cura, sembravano comunque sporchi. Per questo sono felicissima dell’intervento svolto dal Dott. Giorgio. Non solo non ho sentito alcun dolore o fastidio, ma quando mi ha fatto vedere in anticipo come si sarebbe trasformato il mio sorriso, non vedevo l’ora di vedere il risultato finale. Avevo paura che, anche questa soluzione, mi avrebbe costretto col tempo a indossare una dentiera, ma non sono mai stata così contenta di essermi sbagliata.
Il Metodo IDEA mi ha donato un sorriso che sento davvero più sano e forte. Durante la prima visita, il Dott. Giorgio mi ha spiegato i passaggi e le accortezze per tenere al meglio il mio prossimo nuovo sorriso. Poi abbiamo scelto insieme la forma e il colore di come sarebbe stato, mostrandomi anche come le nuove installazioni si sarebbero integrate esteticamente al mio sorriso.
Adesso, quando mi vedono le mie amiche, mi danno tutte dieci anni di meno e ho trovato un nuovo gusto a sorridere.
GRAZIE CENTRO IDEA!
Grazie Centro Idea!






