Il sorriso perfetto
per Isabel
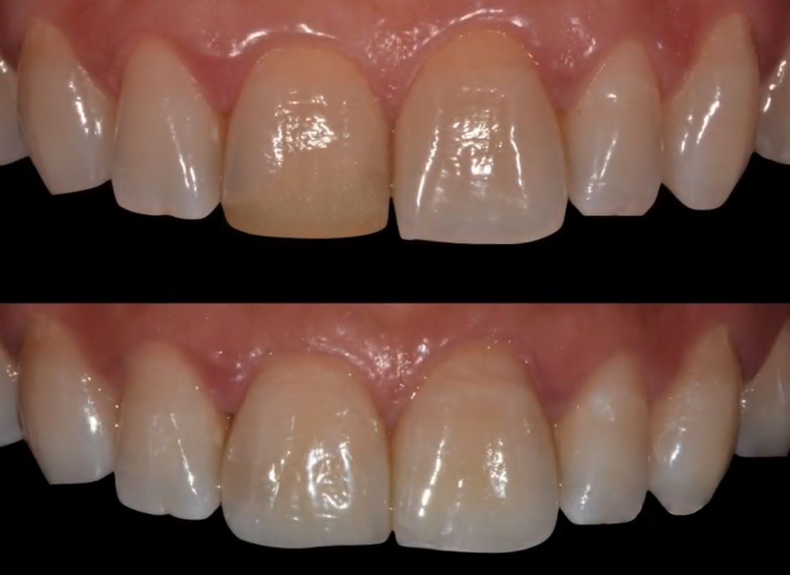
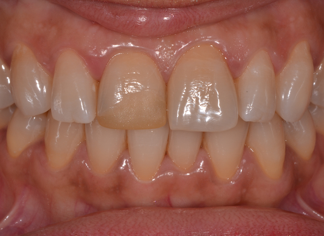
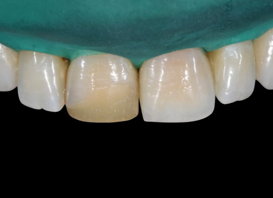
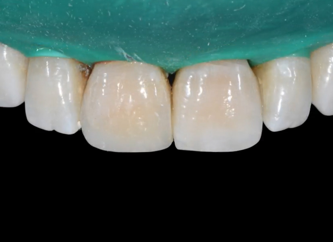
La ricostruzione che le hanno eseguito è risultata essere, purtroppo,incongrua sia per forma sia per colore.
Queste imperfezioni sono state motivo di insicurezza che hanno provocato negli anni un sorriso poco spontaneo, viziato dalla volontà di nascondere l’inestetismo.
Isabel ha contattato il nostro Centro specializzato con la speranza di ottenere il sorriso che aveva sempre desiderato.
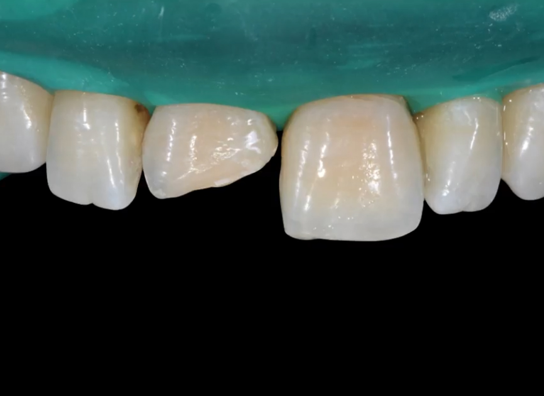
La soluzione è stata una Ricostruzione Diretta, rapida, indolore e poco invasiva. In un solo appuntamento, di poco meno di un’ora, abbiamo ripristinato il sorriso di Isabel.

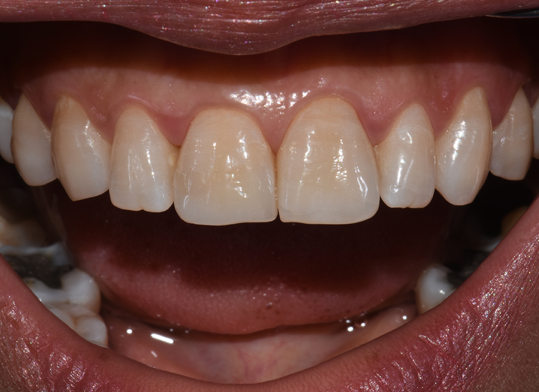
In solo 1 ora, Isabel ha ottenuto
il sorriso che ha sempre desiderato.
L’utilizzo di una resina composita, applicata a piccoli strati sul dente, permette di riprodurre l’esatta anatomia del dente, mimetizzando completamente la ricostruzione.





IL RISULTATO
Un trattamento di questo tipo risulta essere rapido, indolore e risolutivo, mantenendo un’invasività prossima allo zero.
L’esperienza di Isabel
Non posso fare altro che ringraziare tutto lo staff del Centro IDEA per il magnifico lavoro svolto. Sono anni che ormai mi portavo dietro l’imbarazzo di sorridere e non ne potevo più di questa situazione. Quando ho contattato il Centro IDEA ho chiesto di risolvere il più velocemente possibile il mio inestetismo, per ottenere finalmente il sorriso che mi facesse di nuovo sentire a mio agio.
All’inizio avevo un po’ il timore di finire di nuovo in mani superficiali, di avere un altro motivo per nascondermi con la mano, ma una volta accolta nel Centro IDEA non ho avuto più motivo di avere paura.
Il Dott. Giorgio mi ha mostrato fin da subito come sarebbe stato il mio nuovo sorriso, scegliendo insieme colore e forma della Ricostruzione.
Grazie alla Ricostruzione Diretta, non ho provato alcun dolore o fastidio e il risultato non poteva essere più perfetto. Ancora non ci credo quando mi guardo allo specchio. La Ricostruzione si adatta perfettamente al mio sorriso. È come se non avessi mai avuto una frattura.
Non vi ringrazierò mai abbastanza Centro IDEA!

