Le Faccette Dentali
per Federico
Il Metodo IDEA
per il nuovo sorriso di Federico
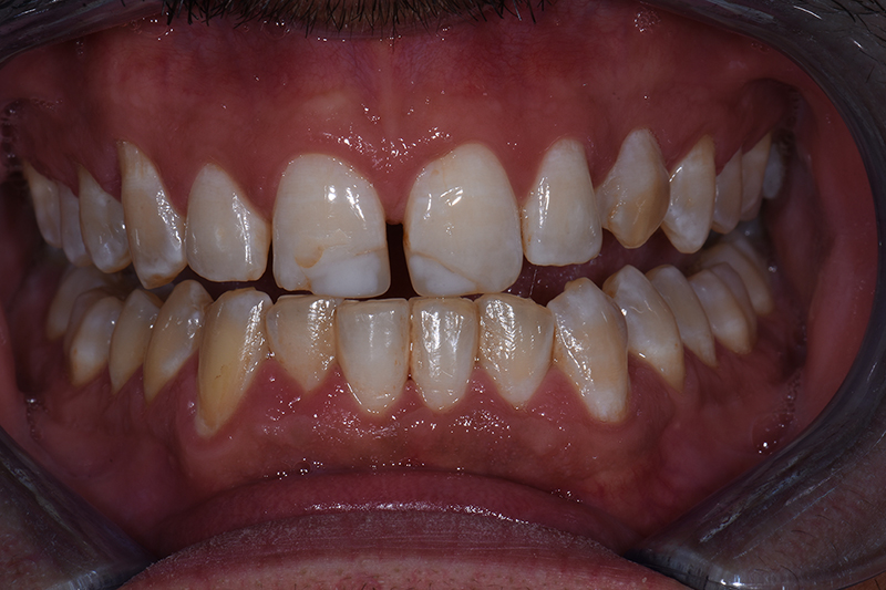
Dopo esserci assicurati che Federico non soffrisse di patologie dentali gravi, abbiamo deciso di proporgli la soluzione Faccette Dentali: rapida, sicura, indolore e minimamente invasiva per donargli un nuovo sorriso, sano e luminoso.



Il Metodo IDEA
per l’applicazione di Faccette Dentali
dopo solo due sedute.
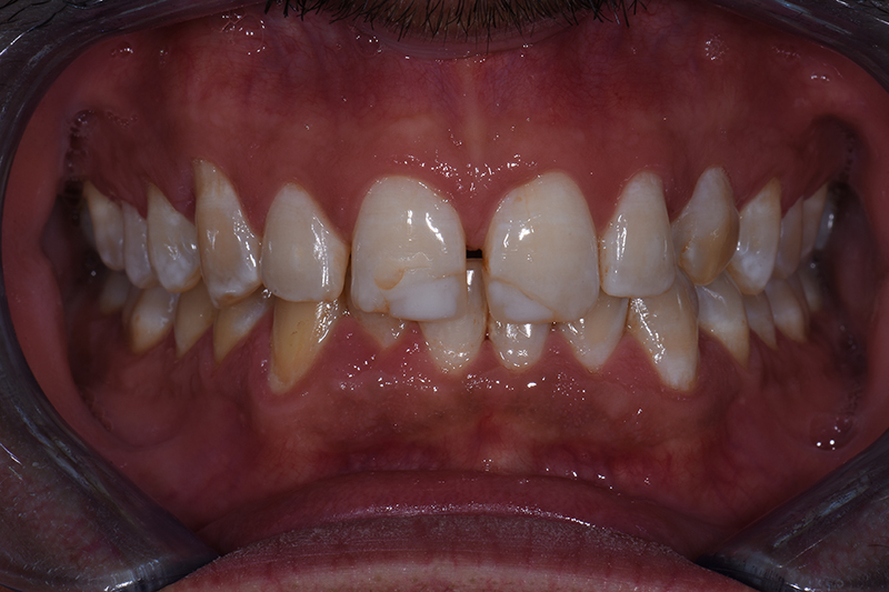
Nell’appuntamento A
Nell’appuntamento B
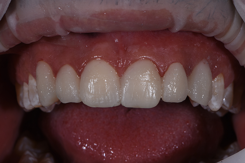
IL RISULTATO
L’esperienza di Federico
Non sono mai stato così soddisfatto del mio sorriso. Dopo aver cercato per tanto tempo su internet delle soluzioni non invasive per correggere il mio sorriso, avevo quasi perso le speranze. Ma quando ho trovato il Centro Odontoiatrico IDEA e ho letto del loro Metodo IDEA, mi sono subito convinto.
Durante la prima visita, il Dott. Giorgio mi ha spiegato come le Faccette Dentali mi avrebbe potuto aiutare in pochissimo tempo. Dopo aver scelto insieme la forma e il colore delle mie nuove Faccette, l’intero trattamento si è risolto in pochi giorni, senza aver provato dolore o fastidio di alcun genere.
Abbiamo dovuto correggere lo spazio tra i denti frontali, un inestetismo che non ho mai sopportato del mio sorriso. Dal momento in cui era presente anche una vecchia ed evidente ricostruzione sui due incisivi frontali, grazie alle Faccette ho ottenuto effettivamente un nuovo sorriso, più bianco e naturale.
Adesso mi sento finalmente a mio agio. I miei denti non sono mai stati così sani, non c’è confronto rispetto a prima. Le Faccette Dentali del Centro Idea si sono rivelate davvero la soluzione definitiva che stavo cercando.
Ora posso tornare finalmente a sorridere senza pensieri!
Grazie Centro Idea!













