Il Metodo IDEA
per il sorriso di Federica
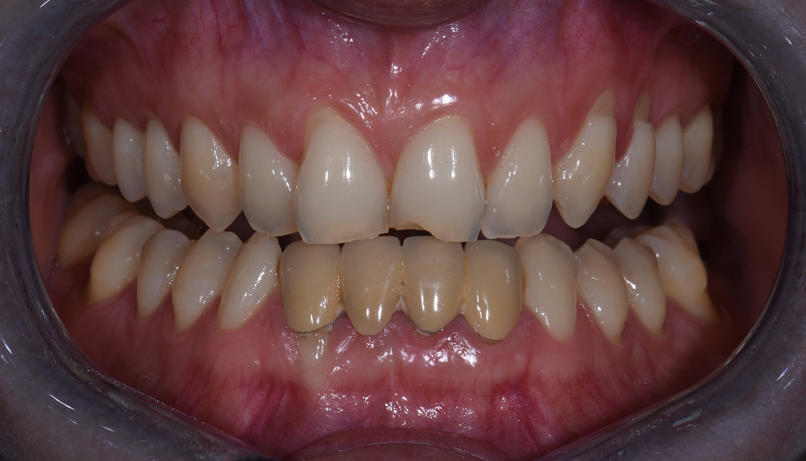
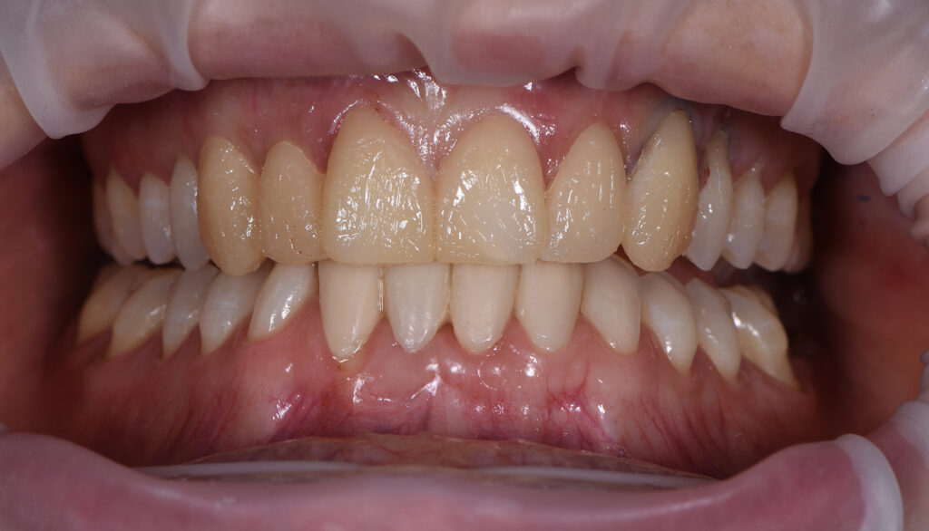
Dopo aver escluso che Federica soffrisse di patologie dentali gravi, abbiamo deciso di proporle la soluzione Faccette Dentali: rapida, sicura, indolore e minimamente invasiva per donarle un nuovo sorriso, sano e luminoso.



Il Metodo IDEA
per l’applicazione di Faccette Dentali
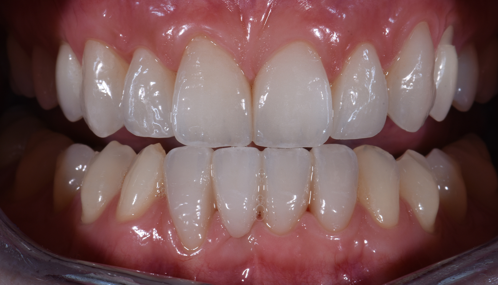
dopo solo due sedute.
Nell’appuntamento A
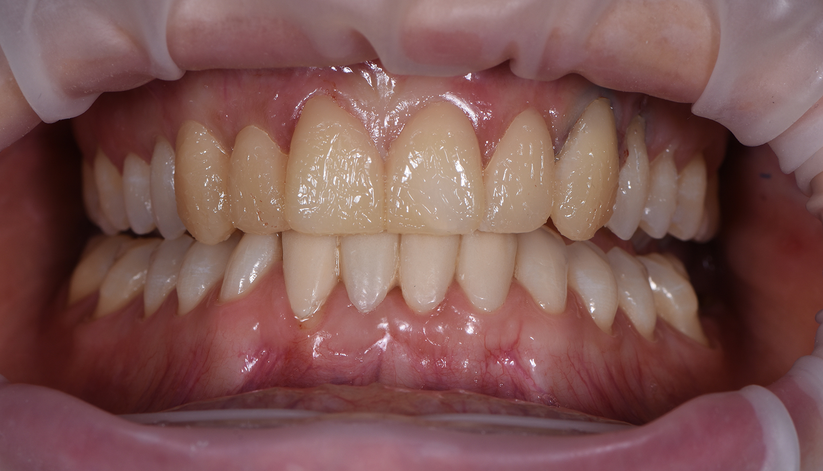
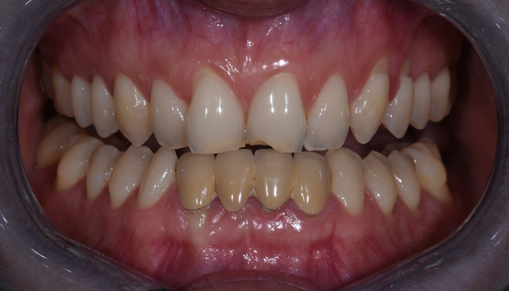
Nell’appuntamento B
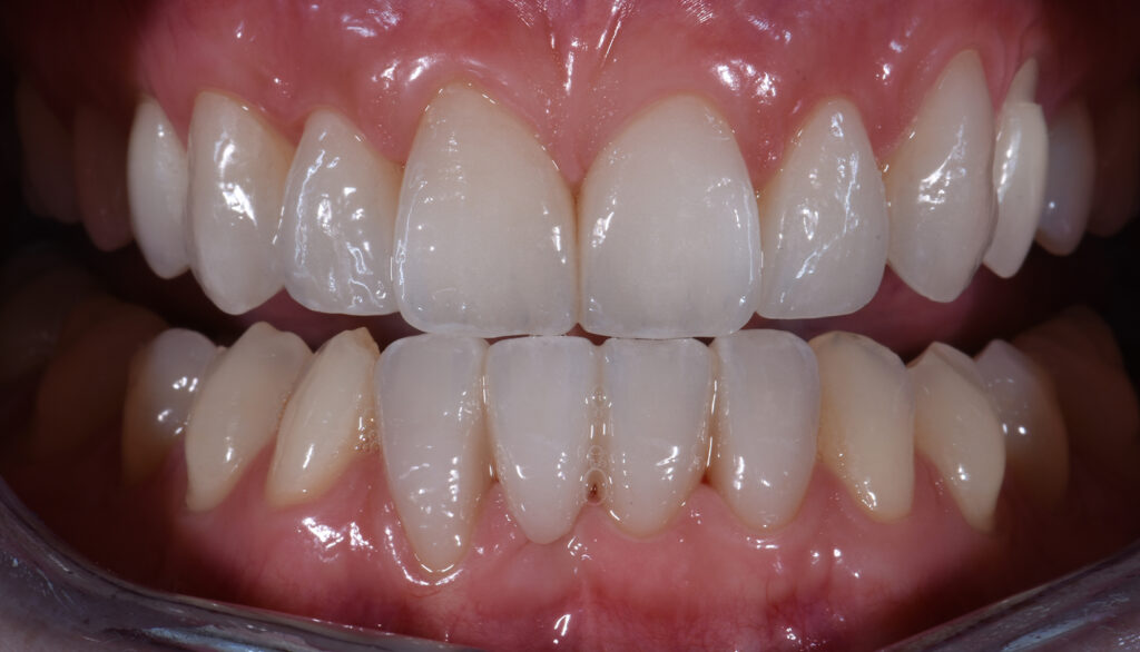
IL RISULTATO
L’esperienza di Federica
Ci tengo davvero a ringraziare il Dott. Giorgio e tutto lo staff del Centro Idea per l’eccellente e rapidissimo intervento dentale. Dopo numerose ricerche per migliorare il mio sorriso, ho scelto di prendere appuntamento al Centro Odontoiatrico IDEA per ottenere finalmente una soluzione definitiva, che non fosse pericolosa per la salute della mia bocca.
Già dalla prima visita, il Dott. Giorgio mi ha parlato delle Faccette Dentali e di come il loro metodo mi avrebbe potuto aiutare. Nonostante le mie preoccupazioni iniziali, hanno mantenuto tutte le promesse: non solo l’intero trattamento si è risolto in pochi giorni, ma non ho sentito niente né durante né dopo le sedute.
Abbiamo fatto 6 Faccette sopra e 4 sotto e sono rimasta incredibilmente soddisfatta di come il risultato finale abbia rispettato tutte le mie aspettative.
Ora non mi vergogno più a sorridere a lavoro e non nascondo più la bocca quando sono a cena con i miei amici. Non provo fastidi quando mangio e sento i miei
denti davvero più sani e resistenti. Le Faccette Dentali del Centro Idea sono la soluzione che stavo cercando e che non speravo più di trovare.
Lo consiglierei a tutti!
Grazie Centro Idea!









